sundhedsguiderne.dk
Menu
  • Annoncering
  • Om os
  • Cookies
  • Kontakt os

Hypnose hillerød sådan kan hypnose støtte både krop og sind

Hypnose har de seneste år fået mere opmærksomhed som en blid og effektiv terapiform, der kan bruges til både mentale og fysiske udfordringer. Mange i og omkring Hillerød søger i dag hjælp til blandt andet angst, stress, præstationspres, dårlige vaner og lavt selvværd gennem hypnose. Fælles for dem er et ønske om varig forandring uden […]...

Anders Winther 12. apr

Psykolog på Østerbro: find den rette støtte i hjertet af København

I en travl hverdag fuld af udfordringer, kan det være en stor hjælp at have en fagperson at tale med. Når livet bliver kompliceret, er det vigtigt at finde professionel støtte, der kan guide og hjælpe én gennem s...

Albert Pilgaard 03. apr

Fiskerestaurant kan blive en kulinarisk oplevelse ved havet

En fiskerestaurant tilbyder mere end blot måltider; det er en rejse gennem havets delikatesser, serveret på kreativ vis og krydret med lokale traditioner. Der er noget særligt ved at nyde fisk og skaldyr, som er så friske, at ...

Sofie Sørensen 07. dec
02. dec

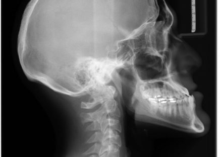
Røntgenundersøgelse: Diagnostiske billeddannelser

En røntgenundersøgelse er et diagnostisk værktøj, der har revolutioneret måden, vi ser ind i kroppen uden at udføre kirurgiske indgreb. Når man taler om røntgenstråler, forestiller mange sig ...

03. nov

Psykoterapi i Vejle: Sådan vælger du rigtigt

Psykoterapi hjælper mennesker, par og familier med at skabe ro, forståelse og retning. Mange i Vejle og Trekantområdet vælger et forløb, når hverdagen gør ondt, når relationer knager, eller når ...

02. nov

Psykoterapi i kalundborg: en rejse mod personlig vækst

Psykoterapi i Kalundborg handler ikke kun om at lindre symptomer, men også om at forstå sig selv bedre og skabe en meningsfuld forbindelse til sine omgivelser. Det er en proces, der kan hjælpe med at skabe balance i livet og forbedre det mentale velv...

02. nov

Kontaktlinser i Århus: Find den perfekte løsning

Når man overvejer alternativer til briller, er kontaktlinser en populær og praktisk løsning for mange mennesker. Århus tilbyder en række muligheder for dem, der ønsker at skifte til kontaktlinser eller blot har b...

31. okt

Oplev fordelene ved thaimassage i Århus

Thaimassage er kendt verden over for sin evne til at lindre stress, forbedre fleksibiliteten og give...

29. okt

Skønhedsklinik i Hillerød: Din guide til skønhedsbehandlinger

En skønhedsklinik tilbyder mere end blot overfladiske forbedringer. Det er et sted, hvor mode...

10. okt

En bedre hverdag med parterapi på Frederiksberg

På trods af at mange betragter parterapi som et redningsplanke, når et forhold nær...

03. okt

Tandlæge i Dianalund: Din garanti for sundt smil

En god mundhygiejne er fundamentet for et sundt smil og et generelt velvære. For mange indeb&a...

02. okt

Massage i København: En oase af velvære

Danmarks hovedstad, København, er kendt for sin rige kultur, moderne arkitektur og afslappede...

01. okt

Psykolog i Nykøbing Falster: Professionel hjælp

I en stadigt mere kompleks verden er det essentielt at have adgang til professionel psykologisk r&ar...

31. okt

Oplev fordelene ved thaimassage i Århus

29. okt

Skønhedsklinik i Hillerød: Din guide til skønhedsbehandlinger

10. okt

En bedre hverdag med parterapi på Frederiksberg

03. okt

Tandlæge i Dianalund: Din garanti for sundt smil

02. okt

Massage i København: En oase af velvære

01. okt

Psykolog i Nykøbing Falster: Professionel hjælp

30. sep

En god oplevelse hos din tandlæge

29. sep

Psykolog i Kolding: Find professionel hjælp

02. sep

Undgå de mest almindelige fejl i makeuprutinen

01. sep

Emotionel intelligens i arbejdslivet

28. aug

Skab din egen kunst med materialer du har derhjemme

27. aug

Skab en hjemmearbejdsplads, der gør arbejdet sjovere

1 2 3 … 33 Næste

Adresse

web: www.klikko.dk

Menu

  • Annoncering
  • Om os
  • Cookies
  • Kontakt os
  • Sitemap
På vores website bruges cookies til at huske dine indstillinger, statistik og personalisering af indhold og annoncer. Denne information deles med tredjepart. Ved fortsat brug af websiden godkender du cookiepolitikken.
Ok Privatlivspolitik